牙醫管家是一款專門為口腔診所研發設計的永久免費口腔管理軟,界面簡潔,操作簡單。提供患者預約、回訪、統計、收費、病歷、庫房管理、頭影測量、美學設計等基礎功能,PC端、手機端、PAD端和微信端互聯互通。
1.實時完成患者預約,預約時段可以細化到15min,醫生排班快速鎖定.

2.患者信息錄入永久保存,實現本地+云端存儲,可以通過電腦、APP、IPD等多種方式實現查詢。

3.可根據時間設置患者回訪提醒,與電話盒一起使用實現智能電話管理,來電顯示詳情能呵護到所有患者。

4.收費對賬功能省去計算的繁瑣過程,費用核算后自動生成,對賬日歷按月統計收費情況,分類精確到每日, 收費、欠費、預交、流水情況均有詳細的表格記錄,根據時間等精確查找。

5.自定義打印模板,提供規范化的醫療票據打印支持內置標準模板與自定義設置兩種格式。

6.智能庫房系統,會思考的后勤機器人,連鎖店庫存查詢,及時調整供需,提高口腔診所辦公效率、庫存盤點、低量報警功能能合理的保證生產供應的同時,壓縮庫存資金。

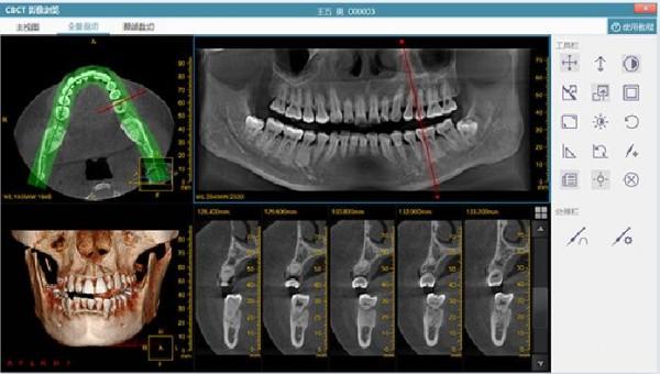
7.數字化影像處理專家,適配各類影像硬件,圖像實時查看調用患者信息。

8.為口腔診所提供個性化科學運營方案及營銷方案。

9.DSD美學設計 高效突破成交瓶頸,自動智能,操作人性化。自動彈出參考框、線等,微調操作,快速選定,調用模板,牙形、貼面自動替換 效果對比直觀,微信分享更便捷、醫患溝通更高效。





互傳
SD卡數據恢復軟件
金舟PDF編輯器
地磅稱重管理軟件單機版
百頁窗
uTools(快速搜索工具)